11.01.2026
Neue Beweglichkeit für schmerzgeplagte Füße
Die Endoprothese des oberen Sprunggelenkes – eine moderne Behandlungsoption
von
Bernd Schmitz
Chefarzt der Abteilung für Orthopädische Chirurgie und Endoprothetik, Bonifatius Hospital Lingen
Leiter des Endoprothetik-Zentrums
Schmerzen im oberen Sprunggelenk können den Alltag erheblich einschränken. Jeder Schritt wird zur Belastung, Spaziergänge oder Treppensteigen fallen schwer, sportliche Aktivitäten sind oft gar nicht mehr möglich. Besonders häufig entstehen diese Beschwerden durch Arthrose – also einen fortschreitenden Verschleiß des Gelenkknorpels. Für viele Betroffene stellt die Endoprothese des oberen Sprunggelenkes heute eine wichtige Behandlungsoption dar, wenn konservative Maßnahmen nicht mehr ausreichen.
Was ist das obere Sprunggelenk?
Das obere Sprunggelenk verbindet den Unterschenkel mit dem Fuß. Es ermöglicht vor allem das Heben und Senken des Fußes – Bewegungen, die für Gehen, Laufen und sicheres Stehen unverzichtbar sind. Ist dieses Gelenk geschädigt, kommt es zu Schmerzen, Schwellungen, Bewegungseinschränkungen und häufig auch zu Fehlstellungen.
Wann kommt es zu einer Sprunggelenksarthrose?
Im Gegensatz zu Hüft- oder Kniearthrose entsteht die Arthrose im oberen Sprunggelenk meist nicht „einfach so“. In vielen Fällen ist sie die Folge früherer Verletzungen, etwa nach Knochenbrüchen, Bänderrissen oder schweren Verstauchungen. Auch Fehlstellungen des Fußes, entzündliche Erkrankungen wie Rheuma oder Durchblutungsstörungen können eine Rolle spielen. Der Knorpel nutzt sich mit der Zeit ab, Knochen reibt auf Knochen – Schmerzen sind die Folge.
Behandlungsmöglichkeiten: Von konservativ bis operativ
Zu Beginn der Erkrankung stehen nicht-operative Maßnahmen im Vordergrund. Dazu zählen Schmerzmedikamente, Physiotherapie, spezielle Einlagen oder orthopädische Schuhe. Ziel ist es, Schmerzen zu lindern und die Beweglichkeit möglichst lange zu erhalten.
Wenn diese Maßnahmen nicht mehr helfen und die Lebensqualität deutlich eingeschränkt ist, kann eine Operation in Betracht gezogen werden. Lange Zeit galt die Versteifung des Sprunggelenkes (Arthrodese) als Standard. Dabei werden die Gelenkflächen dauerhaft miteinander verbunden. Die Schmerzen verschwinden zwar meist, doch die Beweglichkeit geht verloren.
Die Endoprothese – Erhalt der Beweglichkeit
Die Endoprothese des oberen Sprunggelenkes, umgangssprachlich auch „künstliches Sprunggelenk“ genannt, bietet eine Alternative. Ziel dieser Operation ist es, die zerstörten Gelenkflächen durch ein künstliches Implantat zu ersetzen und dabei die Beweglichkeit des Gelenkes zu erhalten.
Moderne Sprunggelenksprothesen bestehen meist aus mehreren Komponenten aus Metall und einem beweglichen Kunststoffkern. Sie ahmen die natürliche Bewegung des Gelenkes nach und sollen eine möglichst gleichmäßige Belastung ermöglichen.
Für wen ist eine Sprunggelenksprothese geeignet?
Nicht jeder Patient kommt für eine Endoprothese infrage. Geeignet sind vor allem Menschen mit fortgeschrittener Arthrose, ausreichender Knochensubstanz und stabilen Bändern. Auch das Körpergewicht, das Aktivitätsniveau und eventuelle Begleiterkrankungen spielen eine Rolle. Sehr junge, stark sportlich aktive Menschen oder Patienten mit schweren Fehlstellungen benötigen häufig andere Lösungen. Eine sorgfältige Untersuchung und Beratung durch einen erfahrenen Fuß- und Sprunggelenksspezialisten ist daher unerlässlich.
Der Ablauf der Operation
Die Implantation einer Sprunggelenksprothese erfolgt in der Regel unter Voll- oder Regionalanästhesie. Während des Eingriffs werden die geschädigten Gelenkflächen entfernt und die Prothese passgenau eingesetzt. Die Operation dauert meist ein bis zwei Stunden.
Nach dem Eingriff folgt eine Phase der Schonung. Das Gelenk wird zunächst entlastet, häufig mithilfe von Unterarmgehstützen. Schrittweise wird die Belastung gesteigert, begleitet von Physiotherapie, um Beweglichkeit und Muskelkraft wieder aufzubauen.
Chancen und Risiken
Viele Patientinnen und Patienten berichten nach der Operation über eine deutliche Schmerzreduktion und eine verbesserte Beweglichkeit. Alltägliche Aktivitäten werden wieder möglich, die Lebensqualität steigt. Wie bei jedem operativen Eingriff gibt es jedoch auch Risiken. Dazu zählen Infektionen, Wundheilungsstörungen, Lockerungen der Prothese oder Bewegungseinschränkungen. Auch hält eine Sprunggelenksprothese nicht unbegrenzt – die Haltbarkeit liegt je nach Belastung und Prothesentyp bei etwa 10 bis 15 Jahren oder länger.
Ein informierter Entschluss ist entscheidend
Die Endoprothese des oberen Sprunggelenkes ist kein „Eingriff von der Stange“, sondern eine individuell abzuwägende Entscheidung. Eine umfassende Aufklärung über Alternativen, Erwartungen und mögliche Risiken ist entscheidend, um gemeinsam mit dem behandelnden Arzt den richtigen Weg zu finden. Für viele Betroffene bedeutet das künstliche Sprunggelenk jedoch einen wichtigen Schritt zurück in ein aktiveres, schmerzärmeres Leben – und damit neue Bewegungsfreiheit im wahrsten Sinne des Wortes.

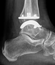
Die Abbildungen zeigen eine Endoprothese des oberen Sprunggelenkes. Sie ist ein sogenannter Oberflächenersatz (Resurfacing). Dieses Implantat wird zementfrei eingesetzt.


Facebook
Instagram
Akademie St. Franziskus



